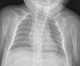
Sprengel deformity

Sprengel's deformity (also known as high scapula or congenital high scapula) is a rare congenital skeletal abnormality where a person has one shoulder blade that sits higher on the back than the other. The deformity is due to a failure in early fetal development where the shoulder fails to descend properly from the neck to its final position. [Source: Wikipedia ]