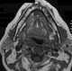
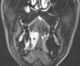
Carcinoma of mouth

Squamous cell carcinomas (SCCs), also known as epidermoid carcinomas, comprise a number of different types of cancer that result from squamous cells. These cells form on the surface of the skin, on the lining of hollow organs in the body, and on the lining of the respiratory and digestive tracts.Common types include: Squamous cell skin cancer: A type of skin cancer Squamous-cell carcinoma of the lung: A type of lung cancer Squamous cell thyroid carcinoma: A type of thyroid cancer Esophageal squamous cell carcinoma: A type of esophageal cancer Squamous-cell carcinoma of the vagina: A type of vaginal cancerDespite sharing the name "squamous cell carcinoma", the SCCs of different body sites can show differences in their presented symptoms, natural history, prognosis, and response to treatment. [Source: Wikipedia ]