Gamuts

Subependymoma

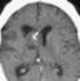
A subependymoma is a type of brain tumor; specifically, it is a rare form of ependymal tumor. They are usually in middle aged people. [Source: Wikipedia ]

OrphaNet reference
Subependymoma 
May Cause
Fourth ventricular lesion
Intraventricular lesion
Lateral ventricle body lesion
T1-hypointense intracranial lesion
T1-isointense intracranial lesion
T2-hyperintense intracranial lesion
Ventricular wall nodule
OrphaNet reference
Subependymoma 
May Cause
Fourth ventricular lesion
Intraventricular lesion
Lateral ventricle body lesion
T1-hypointense intracranial lesion
T1-isointense intracranial lesion
T2-hyperintense intracranial lesion
Ventricular wall nodule


Copyright © 2026, Charles E. Kahn, Jr., MD, MS
ALL RIGHTS RESERVED
About "Gamuts"

Quiz