Gamuts

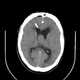
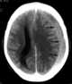
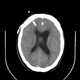
Isodense intracranial lesion

Cysticercosis is a tissue infection caused by the young form of the pork tapeworm. People may have few or no symptoms for years. [Source: Wikipedia ]

May Be Caused by
Acoustic schwannoma
Astrocytoma
Brain stem glioma
Chordoma
Colloid cyst
Craniopharyngioma
Ependymoma
Ganglioglioma
Ganglioneuroma
Germinoma
Glioblastoma
Granuloma
Hemangioblastoma
Langerhans cell histiocytosis
Lymphoma
Metastasis
Neuroblastoma
Pineocytoma
Pituitary adenoma
Subacute subdural hematoma
Tuberculoma
May Be Caused by
Acoustic schwannoma
Astrocytoma
Brain stem glioma
Chordoma
Colloid cyst
Craniopharyngioma
Ependymoma
Ganglioglioma
Ganglioneuroma
Germinoma
Glioblastoma
Granuloma
Hemangioblastoma
Langerhans cell histiocytosis
Lymphoma
Metastasis
Neuroblastoma
Pineocytoma
Pituitary adenoma
Subacute subdural hematoma
Tuberculoma


Copyright © 2025, Charles E. Kahn, Jr., MD, MS
ALL RIGHTS RESERVED
About "Gamuts"

Quiz