Gamuts

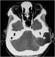
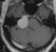
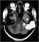
Cholesterol granuloma

Periapical granuloma, also sometimes referred to as a radicular granuloma or apical granuloma, is an inflammation at the tip of a dead (nonvital) tooth. It is a lesion or mass that typically starts out as an epithelial lined cyst, and undergoes an inward curvature that results in inflammation of granulation tissue at the root tips of a dead tooth. [Source: Wikipedia ]

May Cause
Destructive lesion in petrous apex
Erosion of mastoid
Erosion of middle ear
Erosion of the petrous ridge, pyramid, or apex
Erosion of tympanic portion of petrous bone
Skull base lesion
Soft tissue in the middle ear
T1-hyperintense intracranial lesion
T2-hyperintense intracranial lesion
Vascular middle ear mass
May Cause
Destructive lesion in petrous apex
Erosion of mastoid
Erosion of middle ear
Erosion of the petrous ridge, pyramid, or apex
Erosion of tympanic portion of petrous bone
Skull base lesion
Soft tissue in the middle ear
T1-hyperintense intracranial lesion
T2-hyperintense intracranial lesion
Vascular middle ear mass


Copyright © 2026, Charles E. Kahn, Jr., MD, MS
ALL RIGHTS RESERVED
About "Gamuts"

Quiz