Choroid plexus papilloma

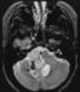
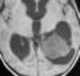
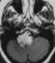
Choroid plexus papilloma, also known as papilloma of the choroid plexus, is a rare benign neuroepithelial intraventricular WHO grade I lesion found in the choroid plexus. It leads to increased cerebrospinal fluid production, thus causing increased intracranial pressure and hydrocephalus.Choroid plexus papilloma occurs in the lateral ventricles of children and in the fourth ventricle of adults. [Source: Wikipedia ]