Gamuts

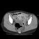
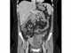
Tubo-ovarian abscess

Tubo-ovarian abscesses are one of the late complications of pelvic inflammatory disease (PID) and can be life-threatening if the abscess ruptures and results in sepsis. It consists of an encapsulated or confined 'pocket of pus' with defined boundaries that forms during an infection of a fallopian tube and ovary. [Source: Wikipedia ]

Synonyms
TOA
Tuboovarian abscess
Tubovarian abscess
May Cause
Abdominal abscess
Adnexal lesion with high diastolic flow
Complex cystic adnexal mass
Complex pelvic mass
Cystic pelvic mass
Extrinsic pressure deformity of bladder
Fallopian tube mass
Pelvic abscess
Pelvic mass in an infant or child
Pericolic abscess
Presacral mass
Rectovaginal fistula
Sacrococcygeal mass
T1-hyperintense adnexal mass
T2-hyperintense adnexal mass
Synonyms
TOA
Tuboovarian abscess
Tubovarian abscess
May Cause
Abdominal abscess
Adnexal lesion with high diastolic flow
Complex cystic adnexal mass
Complex pelvic mass
Cystic pelvic mass
Extrinsic pressure deformity of bladder
Fallopian tube mass
Pelvic abscess
Pelvic mass in an infant or child
Pericolic abscess
Presacral mass
Rectovaginal fistula
Sacrococcygeal mass
T1-hyperintense adnexal mass
T2-hyperintense adnexal mass


Copyright © 2026, Charles E. Kahn, Jr., MD, MS
ALL RIGHTS RESERVED
About "Gamuts"

Quiz