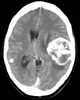
Metastasis from leiomyosarcoma

Leiomyosarcoma, is a malignant (cancerous) smooth muscle tumor. A benign tumor originating from the same tissue is termed leiomyoma. [Source: Wikipedia ]