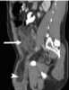
Omental hernia

A paraumbilical (or umbilical) hernia is a hole in the connective tissue of the abdominal wall in the midline with close approximation to the umbilicus. If the hole is large enough there can be protrusion of the abdominal contents, including omental fat and/or bowel. [Source: Wikipedia ]