Gamuts

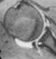
Posterior megalolenticonus

May Be Caused by
Microcornea - posterior megalolenticonus - persistent fetal vasculature - coloboma
May Be Caused by
Microcornea - posterior megalolenticonus - persistent fetal vasculature - coloboma


Copyright © 2025, Charles E. Kahn, Jr., MD, MS
ALL RIGHTS RESERVED
About "Gamuts"

Quiz