Gamuts
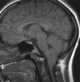
Upper cervical neurofibroma extending through foramen magnum
May Cause
Enhancing extraaxial intracranial mass
May Cause
Enhancing extraaxial intracranial mass