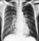
Interstitial pulmonary edema with pulmonary venous hypertension

Pulmonary hypertension (PH or PHTN) is a condition of increased blood pressure within the arteries of the lungs. Symptoms include shortness of breath, syncope, tiredness, chest pain, swelling of the legs, and a fast heartbeat. [Source: Wikipedia ]