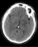
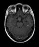
Cerebral lesion

An upper motor neuron lesion (also known as pyramidal insufficiency) occurs in the neural pathway above the anterior horn cell of the spinal cord or motor nuclei of the cranial nerves. Conversely, a lower motor neuron lesion affects nerve fibers traveling from the anterior horn of the spinal cord or the cranial motor nuclei to the relevant muscle(s).Upper motor neuron lesions occur in the brain or the spinal cord as the result of stroke, multiple sclerosis, traumatic brain injury, cerebral palsy, atypical parkinsonisms, multiple system atrophy, and amyotrophic lateral sclerosis. [Source: Wikipedia ]