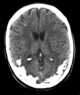
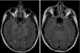
Familial occipital calcification and epilepsy