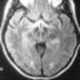
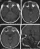
Optic tract syndrome

The visual pathway consists of structures that carry visual information from the retina to the brain. Lesions in that pathway cause a variety of visual field defects. [Source: Wikipedia ]