Chronic petrositis

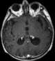
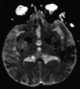
A parapharyngeal abscess is a deep neck space abscess of the parapharyngeal space (or pharyngomaxillary space), which is lateral to the superior pharyngeal constrictor muscle and medial to the masseter muscle. This space is divided by the styloid process into anterior and posterior compartments. [Source: Wikipedia ]