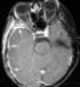
Nasopharyngeal tumor

Nasopharyngeal angiofibroma, also known as juvenile nasal angiofibroma, is a histologically benign but locally aggressive vascular tumor of the nasopharynx that arises from the superior margin of the sphenopalatine foramen and grows in the back of the nasal cavity. It most commonly affects adolescent males (because it is a hormone-sensitive tumor). [Source: Wikipedia ]