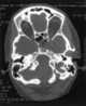
Pituitary fossa tumor

The sella turcica (Latin for Turkish seat) is a saddle-shaped depression in the body of the sphenoid bone of the human skull and of the skulls of other hominids including chimpanzees, orangutans and gorillas. It serves as a cephalometric landmark. [Source: Wikipedia ]