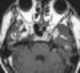
Temporal lobe abscess

A suicide method is any means by which a person chooses to end their life. Suicide attempts do not always result in death, and a nonfatal suicide attempt can leave the person with serious physical injuries, long-term health problems, and brain damage.Worldwide, three suicide methods predominate with the pattern varying in different countries. [Source: Wikipedia ]