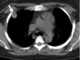
Localized benign fibrous pleural tumor

Solitary fibrous tumor (SFT), also known as fibrous tumor of the pleura, is a rare mesenchymal tumor originating in the pleura or at virtually any site in the soft tissue including seminal vesicle. Approximately 78% to 88% of SFT's are benign and 12% to 22% are malignant. [Source: Wikipedia ]