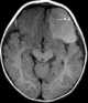
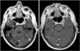
Gamuts

Enhancing extraaxial intracranial mass

May Be Caused by
Acoustic schwannoma
Cranial nerve schwannoma
Hemangiopericytoma of meninges
Meningioma
Metastasis to dura
Upper cervical neurofibroma extending through foramen magnum
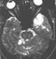
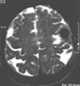
May Be Caused by
Acoustic schwannoma
Cranial nerve schwannoma
Hemangiopericytoma of meninges
Meningioma
Metastasis to dura
Upper cervical neurofibroma extending through foramen magnum


Copyright © 2026, Charles E. Kahn, Jr., MD, MS
ALL RIGHTS RESERVED
About "Gamuts"

Quiz