Gamuts
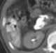
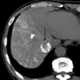
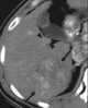
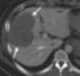
Carcinoma of Vaterian segment
May Cause
Enlarged papilla of vater
May Cause
Enlarged papilla of vater