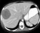
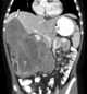
Hepatic mass

A cavernous liver hemangioma or hepatic hemangioma is a benign tumor of the liver composed of hepatic endothelial cells. It is the most common benign liver tumour, and is usually asymptomatic and diagnosed incidentally on radiological imaging. [Source: Wikipedia ]