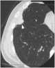
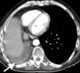
Pleural-based lesion

Mesothelioma is a type of cancer that develops from the thin layer of tissue that covers many of the internal organs (known as the mesothelium). The most common area affected is the lining of the lungs and chest wall. [Source: Wikipedia ]