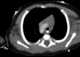
Left aortic arch with right ductus and right descending aorta

The aortic arch, arch of the aorta, or transverse aortic arch (English: ) is the part of the aorta between the ascending and descending aorta. The arch travels backward, so that it ultimately runs to the left of the trachea. [Source: Wikipedia ]