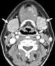
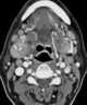
Salivary gland enlargement

The parotid gland is a major salivary gland in many animals. In humans, the two parotid glands are present on either side of the mouth and in front of both ears. [Source: Wikipedia ]