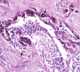
Melanotic neuroectodermal tumor of infancy

Melanotic neuroectodermal tumor of infancy is a very rare oral cavity tumor that is seen in patients usually at or around birth. It must be removed to be cured. [Source: Wikipedia ]