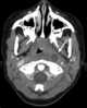
Enlarged lateral retropharyngeal lymph node

A lymph node, or lymph gland is a kidney-shaped organ of the lymphatic system, and the adaptive immune system. A large number of lymph nodes are linked throughout the body by the lymphatic vessels. [Source: Wikipedia ]