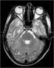
Subacute sclerosing panencephalitis

Subacute sclerosing panencephalitis (SSPE)—also known as Dawson disease—is a rare form of chronic progressive brain inflammation caused by slow infection with certain defective strains of hypermutated measles virus. The condition primarily affects children, teens, and young adults. [Source: Wikipedia ]