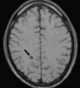
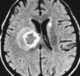
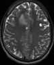
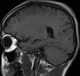
Neurocysticercosis

Neurocysticercosis is a specific form of the infectious parasitic disease cysticercosis that is caused by the infection with Taenia solium, a tapeworm found in pigs. Neurocysticercosis occurs when cysts formed by the infection take hold within the brain, causing neurologic syndromes such as epileptic seizures. [Source: Wikipedia ]