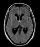
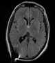
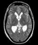
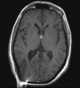
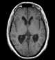
Colloid cyst of third ventricle

A colloid cyst is a non-cancerous tumor in the brain. It consists of a gelatinous material contained within a membrane of epithelial tissue. [Source: Wikipedia ]