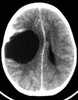
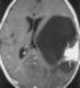
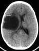
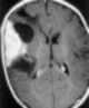
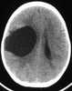
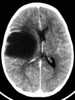
Desmoplastic infantile ganglioglioma

Childhood cancer is cancer in a child. In the United States, an arbitrarily adopted standard of the ages used are 0–14 years inclusive, that is, up to 14 years 11.9 months of age. [Source: Wikipedia ]