Gamuts

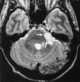
Erosion or widening of the internal auditory meatus

Human embryonic development, or human embryogenesis, refers to the development and formation of the human embryo. It is characterised by the processes of cell division and cellular differentiation of the embryo that occurs during the early stages of development. [Source: Wikipedia ]

May Be Caused by
Acoustic schwannoma
Aneurysm of internal auditory canal artery
Arteriovenous malformation
Chronic hydrocephalus
Congenital cholesteatoma
Cranial nerve V schwannoma
Cranial nerve VII schwannoma
Cyst
Glioma of brain stem
Hemangioma
Increased intracranial pressure
Inflammatory cholesteatoma
Meningioma of cerebellopontine angle
Meningioma of petrous apex
Metastasis
Neurofibromatosis
May Be Caused by
Acoustic schwannoma
Aneurysm of internal auditory canal artery
Arteriovenous malformation
Chronic hydrocephalus
Congenital cholesteatoma
Cranial nerve V schwannoma
Cranial nerve VII schwannoma
Cyst
Glioma of brain stem
Hemangioma
Increased intracranial pressure
Inflammatory cholesteatoma
Meningioma of cerebellopontine angle
Meningioma of petrous apex
Metastasis
Neurofibromatosis


Copyright © 2026, Charles E. Kahn, Jr., MD, MS
ALL RIGHTS RESERVED
About "Gamuts"

Quiz