Gamuts

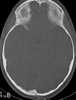
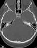
Dermal sinus

Congenital dermal sinus is an uncommon form of cranial or spinal dysraphism. It occurs in 1 in 2500 live births. [Source: Wikipedia ]

May Cause
Congenital skull defect
Defective cranial ossification
Nasal ridge mass in a child
Radiolucent skull lesion
Solitary osteolytic skull lesion
May Cause
Congenital skull defect
Defective cranial ossification
Nasal ridge mass in a child
Radiolucent skull lesion
Solitary osteolytic skull lesion


Copyright © 2026, Charles E. Kahn, Jr., MD, MS
ALL RIGHTS RESERVED
About "Gamuts"

Quiz