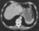
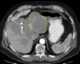
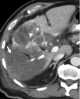
Liver tumor embolization

Liver cancer (also known as hepatic cancer, primary hepatic cancer, or primary hepatic malignancy) is cancer that starts in the liver. The word "hepatic" is from the Greek hêpar, meaning "liver". [Source: Wikipedia ]