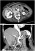
Carcinoma of ampulla

The ampulla of Vater, also known as the hepatopancreatic ampulla or the hepatopancreatic duct, is formed by the union of the pancreatic duct and the common bile duct. The ampulla is specifically located at the major duodenal papilla. [Source: Wikipedia ]