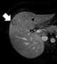
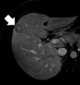
Liver lesion with central scar

Cirrhosis, also known as liver cirrhosis or hepatic cirrhosis, is the impaired liver function caused by the formation of scar tissue known as fibrosis, due to damage caused by liver disease. Damage causes tissue repair and subsequent scar tissue, which over time can replace normal functioning tissue leading to the impaired liver function of cirrhosis. [Source: Wikipedia ]