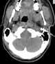
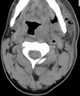
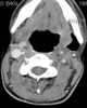
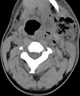
Neck infection

Anaerobic infections are caused by anaerobic bacteria. Obligately anaerobic bacteria do not grow on solid media in room air (0.04% carbon dioxide and 21% oxygen); facultatively anaerobic bacteria can grow in the presence or absence of air. [Source: Wikipedia ]