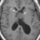
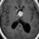
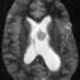
Microcephaly - seizures - developmental delay

Microcephaly (from New Latin microcephalia, from Ancient Greek μικρός mikrós "small" and κεφαλή kephalé "head") is a medical condition involving a shorter-than-normal head. Microcephaly may be present at birth or it may develop in the first few years of life. [Source: Wikipedia ]