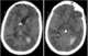
Diffuse cerebral edema

High-altitude pulmonary edema (HAPE) is a life-threatening form of non-cardiogenic pulmonary edema (fluid accumulation in the lungs) that occurs in otherwise healthy people at altitudes typically above 2,500 meters (8,200 ft). However, cases have also been reported between 1,500–2,500 metres or 4,900–8,200 feet in more vulnerable subjects. [Source: Wikipedia ]