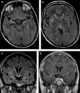
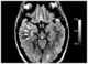
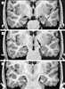
Mesial temporal sclerosis

Hippocampal sclerosis (HS) is a neuropathological condition with severe neuronal cell loss and gliosis in the hippocampus, specifically in the CA-1 (Cornu Ammonis area 1) and subiculum of the hippocampus. It was first described in 1880 by Wilhelm Sommer. [Source: Wikipedia ]