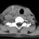
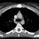
Jugular thrombophlebitis

Lemierre's syndrome refers to infectious thrombophlebitis of the internal jugular vein. It most often develops as a complication of a bacterial sore throat infection in young, otherwise healthy adults. [Source: Wikipedia ]