Gamuts
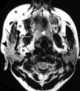
Lipomatous pseudohypertrophy of parotid
May Cause
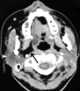
Salivary gland enlargement
May Cause
Salivary gland enlargement