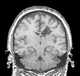
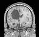
Familial porencephaly

Autosomal dominant porencephaly type I is a rare type of porencephaly that causes cysts to grow on the brain and damage to small blood vessels, which can lead to cognitive impairment, migraines, seizures, and hemiplegia or hemiparesis. Signs and symptoms Different people are affected very differently by this disease. [Source: Wikipedia ]