Marchiafava-Bignami disease

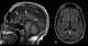
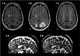
Marchiafava–Bignami disease is a progressive neurological disease of alcoholism, characterized by corpus callosum demyelination and necrosis and subsequent atrophy. The disease was first described in 1903 by the Italian pathologists Amico Bignami and Ettore Marchiafava in an Italian Chianti drinker. [Source: Wikipedia ]