Kearns-Sayre syndrome

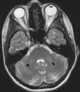
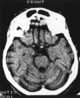
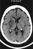
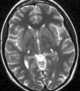
Kearns–Sayre syndrome (KSS), Oculocraniosomatic disorder or Oculocranionsomatic neuromuscular disorder with ragged red fibers, is a mitochondrial myopathy with a typical onset before 20 years of age. KSS is a more severe syndromic variant of chronic progressive external ophthalmoplegia (abbreviated CPEO), a syndrome that is characterized by isolated involvement of the muscles controlling movement of the eyelid (levator palpebrae, orbicularis oculi) and eye (extra-ocular muscles). [Source: Wikipedia ]