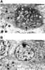
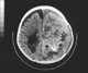
Primary cerebral neuroblastoma

A brain tumor occurs when abnormal cells form within the brain. There are two main types of tumors: cancerous (malignant) tumors and benign (non-cancerous) tumors. [Source: Wikipedia ]