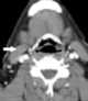
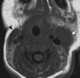
Sternocleidomastoid muscle hypertrophy

Spasmodic torticollis is an extremely painful chronic neurological movement disorder causing the neck to involuntarily turn to the left, right, upwards, and/or downwards. The condition is also referred to as "cervical dystonia". [Source: Wikipedia ]