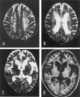
Binswanger disease

Binswanger's disease, also known as subcortical leukoencephalopathy and subcortical arteriosclerotic encephalopathy (SAE), is a form of small vessel vascular dementia caused by damage to the white brain matter. White matter atrophy can be caused by many circumstances including chronic hypertension as well as old age. [Source: Wikipedia ]

Synonyms
Subcortical arteriosclerotic encephalopathy
OrphaNet reference
Binswanger disease 
May Cause
Demyelinating disease
Encephalopathy