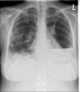
Infective emboli

Infective endocarditis is an infection of the inner surface of the heart, usually the valves. Symptoms may include fever, small areas of bleeding into the skin, heart murmur, feeling tired, and low red blood cell count. [Source: Wikipedia ]